Breaking Barriers in Every Direction
Embrace a brand-new PET/CT imaging era of enhanced confidence in decision making, streamlined workflows, and expanded research opportunities with an ultra-high resolution digital PET/CT: uMI Panorama, powered by uExcel technology platform.
uMI Panorama is clearly magnificent in every direction with the finest National Electrical Manufactures Association (NEMA) PET spatial resolution, truly-fast 189-picosecond (ps) time of flight (TOF), scalable axial field of view (AFOV), the 76-cm super-wide bore and 318-kg (700-lb) table weight capacity that accommodates patients of all sizes.1 By leveraging the AI-powered features on the uExcel platform, it also boosts your daily work efficiency significantly and opens up new possibilities for your exploration.
Enhance Your Confidence with uExcel UDP
You can confidently set a higher standard for any image before the first moment you experience uMI Panorama. It is born to redefine your expectations for precision, with the power of the uExcel UDP (Ultra Digital Platform) detector.
Maximize Your Routine with Artificial Intelligence
Your time, energy and security matter. Let uMI Panorama with its artificial intelligence (AI) power and protect you. One-click steps for positioning patients, performing scans, reconstructing images, and post-processing can help you maximize your routine.
Unlock New Possibilities for Exploration
Venture beyond traditional boundaries and embrace a future of breakthroughs with uMI Panorama. It delivers consistently high performance across different tracers or concentrations, supporting versatile clinical or research applications to meet your needs today and tomorrow.
Excel in All Directions with uExcel Technology
The uExcel technology platform was born with its innovative designs and versatile applications in response to your clinical and research needs. Comprising the Ultra Digital Platform (UDP) detector, the intelligent scanning toolset uExcel SCAN, the AI reconstruction engine uExcel CARE, the efficient quality control system uExcel QA and the research aid uExcel EXPLORE, this platform aims to empower you to truly excel in exploring clinical panoramas with ease and innovation.




Maximize Your Routine with Artificial Intelligence
uMI Panorama is greatly empowered by innovative technologies integrated into the uExcel SCAN and uExcel CARE workflows. With uExcel SCAN, you can rely on intelligent positioning, scanning, and motion correction to streamline your routine tasks and maximinze your work efficiency. And uExcel CARE features uExcel DPR and uExcel AIIR reconstruction algorithms to ensure clear images even at low doses.
User Voices




Unlock New Possibilities for Exploration
With the ultra-high system performance, uMI Panorama faces up to the challenges of tracers with different half lives and the complex scanning conditions, without compromise for image quality.

New-Tracer Imaging
Click on different tracers to see the images.
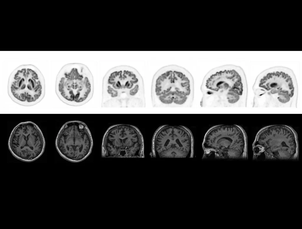
Case Gallery
MEDIA
DISCLAIMERS
2 uMI Panorama GS with 148 cm PET AFOV has been CE marked and FDA clear; other uMI Panorama PET/CT scanners with scalable AFOVs beyond 28 cm and 35 cm are not yet commercially available.
3 Measured on uMI Panorama 28 and uMI Panorama 35 with TOF gain calculated with a 20-cm cylindrical phantom.
4 Measured on uMI Panorama 28 and uMI Panorama 35 with TOF gain calculated with a 35-cm cylindrical phantom.United Imaging does not make any claims regarding the safety and effectiveness of tracers that have not been approved by the FDA or CE.
Onscreen reproduction and display may result in a certain degree of image-quality degradation.












































