High-Resolution Digital PET/CT
uMI 550
Digital. Attainable.
uMI 550 makes the state-of-art digital PET technology attainable to more customers. With the unique Integrated-Light-Guide Digital PET detector, uMI 550 provides 2.9mm NEMA resolution. The 80-slice CT system with Z-Detector enables diagnostic CT images with high spatial resolution and improved low contrast detectability.
SiPM based Integrated-Light-Guide Digital PET Detector
80-slice CT with Innovative Z-detector
Intuitive Workflow for Efficiency and Personalized Care
Integrated-Light-Guide Digital PET Detector

Integrated-Light-Guide
Integrated-Light-Guide improves light collection efficiency and spatial resolution to achieve exceptional image quality.

SiPM
SiPM technology increases photoelectric conversion efficiency to reduce signal loss, yielding outstanding image quality.

High-precision Crystal
The ultra-fine crystal size significantly enhances image resolution.

Modular Design
High-level modular design achieves remarkable system reliablilty and serviceability.
80-slice CT with Z-Detector
Ultra-low Noise Design
With highly integrated architecture, Z-Detector not only achieves overall noise reduction, but also helps to ensure high image quality with low radiation dose.
High-performance Material
The high conversion efficiency of GOS boosts X-ray conversion rate while maintaining quick response time.
Fine Sampling
The very fine sampling voxels acquire massive information, bringing exquisite visualization of fine anatomic details.
Clarity for Imaging
Intuitive Workflow for Efficiency
Automatic Quality Control Workflow
No radioactive source is required for automatic daily QC, reducing radiation exposure to the operator. Periodic full QC supports both liquid 18F and solid 68Ge sources with lower storage condition requirements. A fast NEMA tool makes the workflow convenient and efficient.
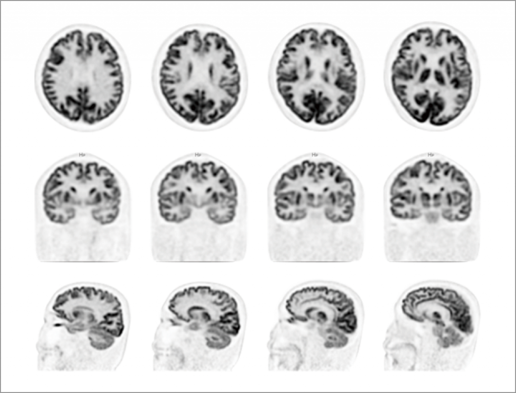
Head Motion Correction
Without the requirement for external devices, the data-driven motion correction algorithm detects motion from list-mode data during patient scans and corrects motion blurring accordingly.
Intelligent Motion Artifact Reduction
Without an external gating device, the intelligent digital self-gating technology automatically detects respiratory motions. MAC helps reduce metal artifacts and keep the important surrounding structural details.
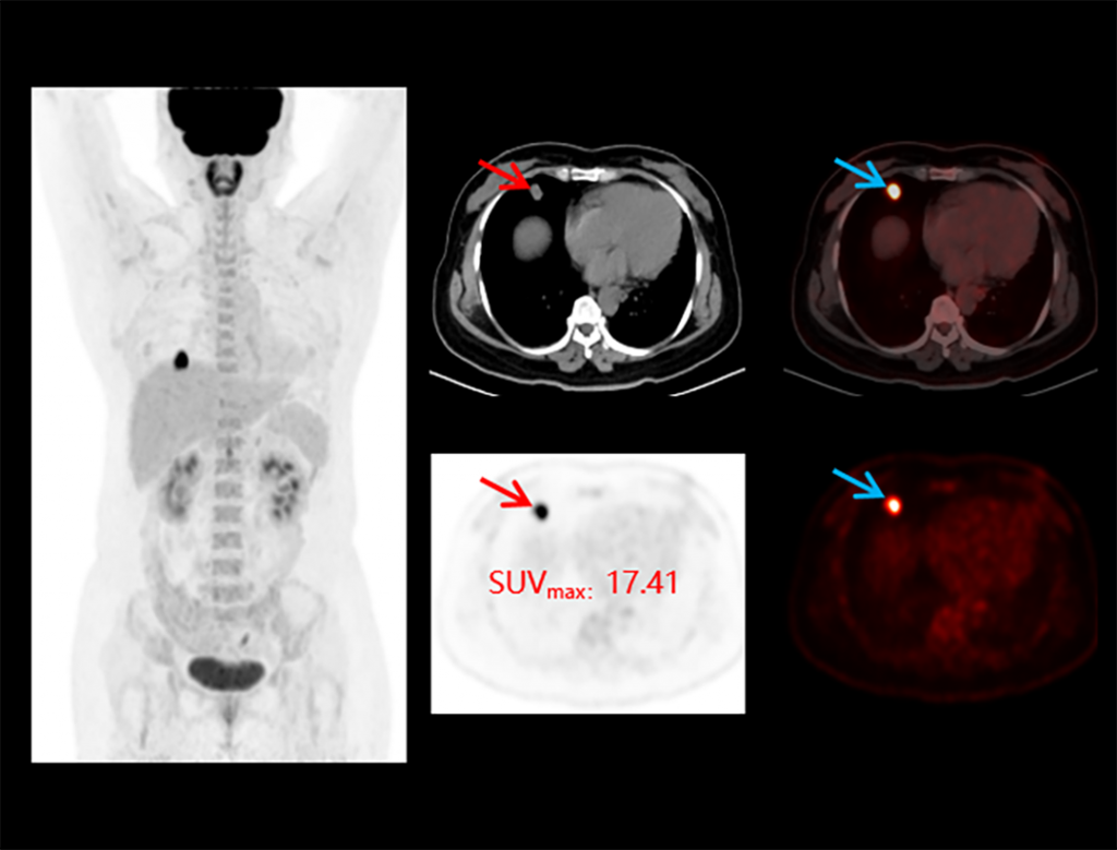
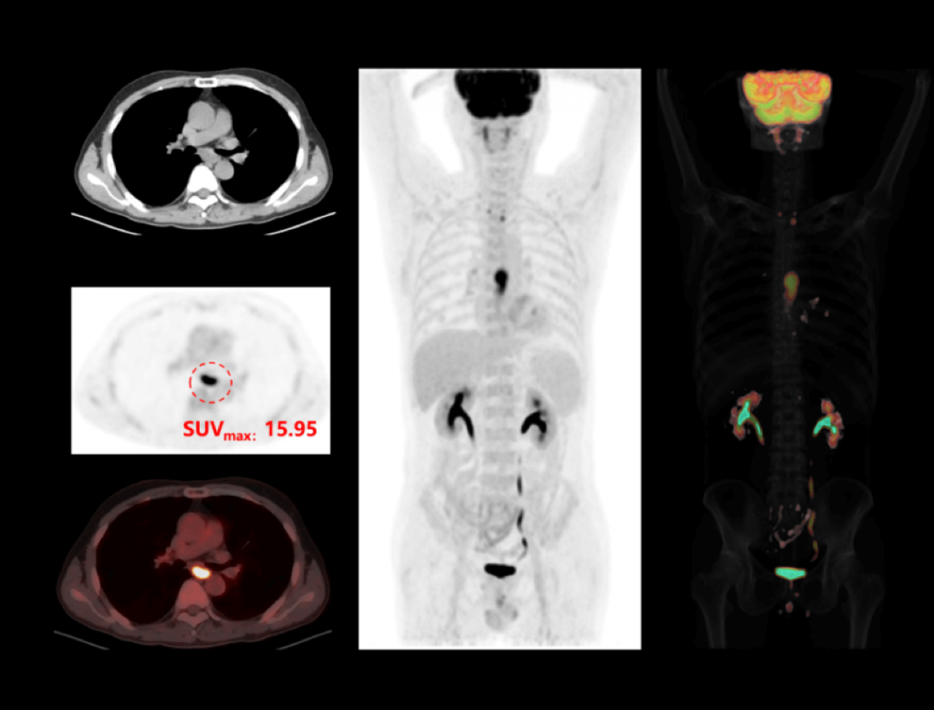
Integrated Oncology Application
The uMI 550 offers a comprehensive solution package for tumor diagnosis and post-therapeutic evaluation on the operation console.




























