Scintron 7 PET/CT
FOR YOUR BIOGRAPHTM PROCESSING

BENEFITS OF SCINTRON
Increase Patient Throughput
Fast Results = Patient Care
Decrease Dose + Overtime
Return of Investment 1-2 months
-
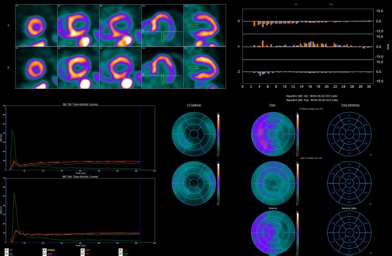
Misalignment correction
-
Faster reconstruction times for listmode and gated acquisitions
-
Review patient images prior to stress study and the patient leaving the department
-
Includes prompt gamma correction, scatter correction, and cascade correction
-
Windows 10 IoT IT-Security
-
Compatible with 3 and 4 ring BiographTM
-
Listmode acquisition for rebin and reconstruction of studies
-
Automated process with linked protocols and online reconstruction
-
Integrated 3rd party software
-
Results of one acquisition can include MPI, CFR/MFR and Calcium Scoring
(dependant on 3rd party software)
MEDIA
Biograph is a trademark of Siemens Medical. Solutions USA, Inc.

















