ECAT SCINTRON UPGRADE
POSITRON EMISSION TOMOGRAPH
The ECAT SCINTRON UPGRADE combines the popular ECAT PET scanner with the newest acquisition, processing, quantification and viewing hard- and software.
Capable of performing static, dynamic, whole-body, cardiac gating and list-mode protocols, the SCINTRON allows faster workflows, lower dose (3D acquisitions) and therefore higher patient care with improved reliability.
Already installed ECAT PET Scanner are upgradeable with our SCINTRON Computer which allows Cardiac, Brain and Whole Body Scans along with fast patient positioning and reliable image quality.
ECAT EXACT 47
BGO / 47 planes / 162 mm axial & 583 mm transversal FOV
ECAT EXACT HR+
BGO / 63 planes / 155 mm axial & 583 mm transversal FOV
ECAT ACCEL
LSO / 47 planes / 162 mm axial & 583 mm transversal FOV
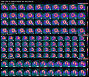
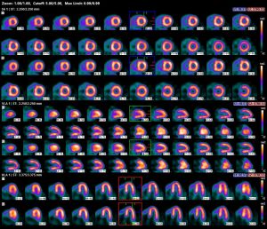
- 3D Acquisition with CASCADE Scatter Correction allows for lower Cardiac PET doses between 9 mCi (N-13) and 30 mCI (Rb-82) without sacrificing image quality. Lower dose means less exposure for patient and technologist.
- Cardiac Matching Application: This misalignment application allows to correct registration issues with the transmission and emission studies post acquisition. Avoiding false reconstruction and reading due to patient motion. Providing high image quality on a daily base.
- CFR via List-Mode Acquisition: This state-of-the-art acquisition protocol is only found on newer hybrid units. The SCINTRON brings this technology to the ECAT family of PET scanners. Allowing users to create multiple data sets with only one acquisition (e.g. Coronary Flow Reserve).
- Quantification Integration: An interface for all common quantification software (Invia 4DM and Cedar Sinai QPET) is available.

SCINTRON TECHNOLOGY
SCINTRON HARDWARE
Acquisition & Processing Hardware
New – Reliable – Available
PowerPC for acquisition and camera interface for a streamlined transfer to the high-end processing workstation. All SCINTRON components are new and industry parts for long-term availability.
- New Hard- and Software Technology
- Parallel Acquisition and Processing
- DICOM Interface
- Longevity
- Remote Support






















